Home Health Care Medcare Hospitals Medcare Dentofaces gives Arab teenager with rare jaw tumour a new lease...

Medcare Dentofaces gives Arab teenager with rare jaw tumour a new lease on life

  • The 14-year-old Arab boy, who experienced reoccurring swelling in his lower jaw for some years, was diagnosed with a rare kind of tumour.
  • The patient underwent a 3-hour-long complex surgery, which required precision due to the tumour’s proximity to sensitive nerves that regulates sensation in the lower teeth, chin, and lower lip, at Medcare Dubai.

Dubai, UAE: Salem Salah, a 14-year-old Arab teenager, has every reason to smile after undergoing a complex surgical procedure to remove a rare, benign tumour from his lower jaw at Medcare Dentofaces in Dubai.

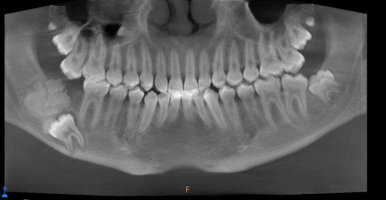
For years, Salem struggled with persistent swelling and severe pain on the right side of his lower jaw. Initially, the discomfort seemed minor, but as the swelling grew, Salem’s family noticed it was affecting him the quality of his life. The boy found it increasingly difficult to chew food properly. The tumour disfigured the structure of his lower jaw, and his lower teeth shifted out of position.

The family sought advice from several healthcare professionals who identified the rare nature of the swelling in the mouth. Since this required special treatment, Salem was eventually referred to Dr. Farzin Sarkarat, a specialist oral and maxillofacial surgeon at Medcare Dentofaces in Dubai. Concerned by the severity of the swelling in the boy’s jaw and the displacement of Salem’s right third molar tooth, Dr. Farzin conducted a thorough analysis.

“The position of the swelling was dangerously close to the inferior alveolar nerve, a critical nerve responsible for sensations in the lower teeth, chin, and lower lip. The tumor’s proximity to the nerve made the situation extremely delicate, since any oversight could result in permanent nerve damage. This made the case highly complex. From the initial evaluation, it was clear that Salem’s condition was more than a simple swelling,” explained Dr. Farzin.

“Detailed imaging and diagnostic tests revealed that Salem suffered from Ameloblastic Fibroma, a rare benign tumour originating from dental tissue that typically affects younger individuals. While non-cancerous, the tumour caused significant swelling, pain, and displacement of Salem’s teeth,” he added.

“If left untreated, the tumour could have grown larger, damaging the surrounding bones and nerves, leading to facial deformities or even loss of sensation in the jaw,” said Dr. Farzin. “We decided to perform a surgical procedure to remove the tumor, preserve the nerve, and restore Salem’s jaw.”

Dr. Farzin’s team designed a meticulous treatment plan that involved removing the tumor and impacted wisdom tooth, repositioning the nerve, and using a bone plate to reconstruct the jaw. Every step required extreme precision to avoid nerve damage and ensure Salem could regain full jaw functionality.

“The three-hour surgery was performed under general anaesthesia,” Dr. Farzin explained. “We carefully removed the tumour and wisdom tooth, repositioned the nerve, and inserted a bone plate to stabilize and reconstruct the jaw.”

The surgery was a success, significantly reducing Salem’s pain and swelling and preventing future complications. Salem’s immediate post-operative recovery brought much-needed relief to his family.

“Salem’s prognosis is excellent,” said Dr. Farzin. “With the tumour removed and the nerve preserved, we expect him to regain full functionality of his jaw. He is already making remarkable progress and is on track for a complete recovery.”

Expressing her gratitude, Salem’s sister, Ms. Shaikha Elfalasi, said: “We are extremely thankful to Dr. Farzin and his team for their incredible care and expertise. After months of pain and uncertainty, seeing my brother recover and smile again is a great blessing for our family.”

Salem is steadily recovering, with his pain diminishing and full healing expected in the coming months. Regular follow-ups will ensure his jaw functions properly. His story highlights the importance of specialized care and timely medical intervention.

About Medcare:

Medcare is the premium private healthcare provider under the parent group, Aster DM Healthcare. Operating leading state-of-the-art Hospitals, including Medcare Multi-specialty Hospital in Dubai and Sharjah, Medcare Women & Children Hospital, Medcare Orthopaedics and Spine Hospital, and 20 medical centres in the UAE, Medcare has established a strong presence in the UAE.

Medcare is dedicated to offering premium integrated health services in accordance with the highest quality. From talent to technology to facilities and treatment, Medcare maintains the highest possible standards in healthcare delivery. All Medcare hospitals and medical centres are accredited by the Joint Commission International (JCI), which is considered the gold standard in global healthcare. Apart from this, Medcare facilities have won several certifications.

What sets Medcare apart is its exceptional multi-cultural, multi-lingual team of doctors who have received extensive training from some of the top-notch medical institutes around the world. Using a multidisciplinary approach, the Medcare team provides optimal, evidence-based treatments to patients, with the support of trained nurses, dieticians, rehabilitation therapists and technologists. Living by its simple promise “We’ll Treat You Well”, Medcare’s team is fully committed to providing high-quality, personalized medical care to every patient.

Exit mobile version