Riyadh:
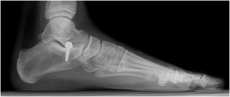
Orthopedic surgeons in Buraidah Central Hospital (Central Saudi Arabia) drew a line to a patient’s pain who was suffering from deviation and joint instability. These symptoms caused acute pain in his right foot and ankle for ten years.
Saudi Health stated that the patient came to the Orthopedic Department on 12 September due to high-tension pain in the joint. The clinical examinations showed a flat foot due to an old injury in the tendon.
The medical team had two-hour surgery to adjust the heel with screws and prune down the tendon using a dissolving screw.
The operation ended successfully, and the patient left the hospital in good health. This intervention is considered the first-ever in the field of orthopedy.
